HOME | DD
Published: 2012-02-04 01:57:12 +0000 UTC; Views: 366; Favourites: 0; Downloads: 14
Redirect to original
Description
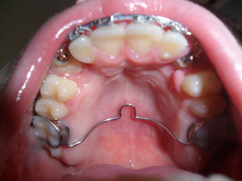
This is what the inside of my mouth looked like when i got the surgery for my canines. That's when a whole bunch of blood poured out of my mouth from the holes. I couldn't swallow my saliva very well because it hurt whenever my tongue touched the ceiling of my mouth. Horrible memories!This is called: impacted canines.
After: xsilver-cloudx.deviantart.com/…
Related content
Comments: 1
PrincessAces [2012-02-04 01:58:26 +0000 UTC]
sick man............thats just sick *though it looked like that when they put my retainer in xDD*
👍: 0 ⏩: 0

























